반응형
요즘 현대인들이 목을 내밀면서 컴퓨터,핸드폰을 하는 일이 많아지면서, 거묵복 증상을 보이는 사람들이 많아졌다.
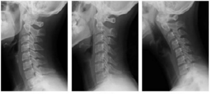
거북목 증후군이라는 증상이 말 그대로 목을 내밀고 있는 증상인데, Xray를 통해서도 쉽게 확인이 가능하다.
아래 X ray 결과 왼쪽이 정상 사람의 X ray 결과이다. 약간 뒤쪽으로 뼈가 휘어서 활처럼 모습을 보이고 있다.
이게 정상이다.
거북목이 되기전 일자목의 상태를 거치는데 가운데 x ray 그림의 결과가 일자목이다.
거북목 초기증상으로 볼 수 있을정도로, 관리가 필요한 상태이다.

거묵목 증후군의 위험도는 아래와 같다
-수면 방해
-호흡 방해
-폐활량 감소
-골절 위험
-관절염
거북목의 진행상태를 X ray를 통해 확인 했으면, 이제 이 증상을 완화하기 위한 조치 사항이 필요하다.
-가슴을 천장으로 향하게 가슴을 핀다
-컴퓨터 사용시, 화면을 눈높이에 맞춤, 마우스와 키보드를 몸에 가까이 붙여서 사용
-어깨를 펴고 고개를 꼿꼿하게 하는 자세 유지
반응형
'DAILY' 카테고리의 다른 글
| 코로나 오미크론 증상 및 의심시 대처방안 (0) | 2022.02.24 |
|---|---|
| 자세에 따른 디스크/허리가 받는 압력 (0) | 2022.02.18 |
| 허리디스크 증상 및 치료 방법 (0) | 2022.02.18 |
| HPV 서바릭스 vs 가다실 4가 9가 (0) | 2022.01.08 |
| 티스토리 블로그 여러 글 카테고리 옮기기 (0) | 2022.01.02 |
댓글